Wichtiger Sicherheitshinweis:
Pathorama wurde zwischen dem
26. und 27. Dezember 2025
angegriffen. Falls Sie die Website in diesem Zeitraum besucht haben, lesen Sie bitte die wichtigen Informationen hier:
Zur Information
Pathopic
HiPaKu
ZyPaKu
Projektinfos
PathoPic - Projekt- und Copyright-Info
About
Pathopic
HiPaKu
ZyPaKu
PathoPic – image database
/
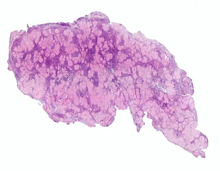
PathoPic ID 4012 - Lymphknotensarkoidose (Morbus Boeck)
de
Diagnose
Lymphknotensarkoidose (Morbus Boeck)
Diagnose Gruppe
Systemerkrankung/Immunpathologie
Topographie
Lymphknoten, inguinal
Topographie Gruppe
Lymphatische Gewebe, KM, Milz
Beschreibung
Zahlreiche helle konfluierende Granulome durchsetzen das Lymphknotenparenchym.
Klinik
Vergrösserte inguinale Lymphknoten bei bekannter Sarkoidose mit Befall der Lungen.
Bilder Typ
Histologie
Vergrösserung
Scan
Alter
37
Geschlecht
unbekannt
Datum
Ersteintrag: 13.01.2002
CPS
·
©
2025 Institut für Pathologie Basel
/
Dr. med. Katharina Glatz-Krieger
.
·
v2.2