Wichtiger Sicherheitshinweis: Pathorama wurde zwischen dem 26. und 27. Dezember 2025 angegriffen. Falls Sie die Website in diesem Zeitraum besucht haben, lesen Sie bitte die wichtigen Informationen hier:
Zur Information

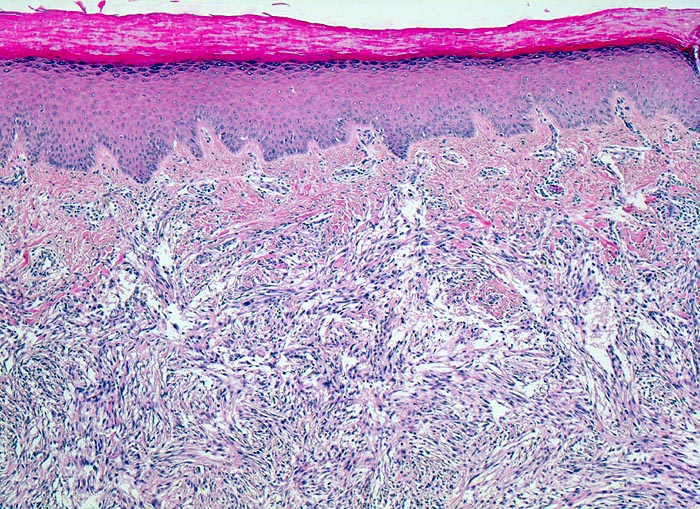
PathoPic – image database / PathoPic ID 3968 - Zellreiches fibröses Histiozytom

de
Diagnose
Zellreiches fibröses Histiozytom
Diagnose Gruppe
benigner Tumor
Topographie
Haut, Hand palmar, Finger
Topographie Gruppe
Haut
Beschreibung
Die Epidermis zeigt eine leichte Hyperkeratose und Akanthose. Von der Epidermis durch eine schmale Kollagenfaserschicht abgegrenzt findet sich in der Dermis ein zellreicher spindelzelliger Tumor mit geflechtartig verwobenen Tumorzellbündeln.
Zusatzbefund
Ploidie: Diploid, DNS-Index 1,9. S-Phasen-Fraktion: 19,4%, hoch. Das Messergebnis spricht für eine hohe proliferative Aktivität entsprechend einem zellreichen fibrösen Histiozytom.
Klinik
Tumorrezidiv interdigital.
Bilder Typ
Histologie
Vergrösserung
50
Alter
43
Geschlecht
männlich
Datum
Ersteintrag: 13.01.2002