Wichtiger Sicherheitshinweis:
Pathorama wurde zwischen dem
26. und 27. Dezember 2025
angegriffen. Falls Sie die Website in diesem Zeitraum besucht haben, lesen Sie bitte die wichtigen Informationen hier:
Zur Information
Pathopic
HiPaKu
ZyPaKu
Projektinfos
PathoPic - Projekt- und Copyright-Info
About
Pathopic
HiPaKu
ZyPaKu
PathoPic – image database
/
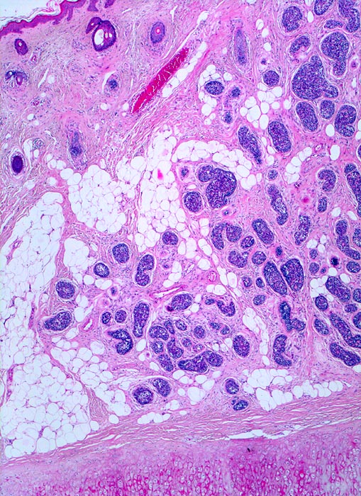
PathoPic ID 3962 - adenoidzystisches Karzinom der Haut
de
Diagnose
adenoidzystisches Karzinom der Haut
Diagnose Gruppe
maligner Tumor
Topographie
Haut, Kopf
Topographie Gruppe
Haut
Beschreibung
Solide scharf begrenzte unregelmässig in der Dermis und im subkutanen Fettgewebe verteilte Tumorzellnester. Unten im Bild Anschnitt des Ohrknorpels.
Klinik
Tumor an der Ohrmuschel
Bilder Typ
Histologie
Vergrösserung
25
Alter
55
Geschlecht
unbekannt
Datum
Ersteintrag: 13.01.2002
CPS
·
©
2025 Institut für Pathologie Basel
/
Dr. med. Katharina Glatz-Krieger
.
·
v2.2