Wichtiger Sicherheitshinweis: Pathorama wurde zwischen dem 26. und 27. Dezember 2025 angegriffen. Falls Sie die Website in diesem Zeitraum besucht haben, lesen Sie bitte die wichtigen Informationen hier:
Zur Information

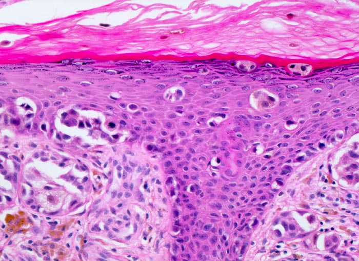
PathoPic – image database / PathoPic ID 3960 - oberflächlich spreitendes Melanom (SSM)

de
Diagnose
oberflächlich spreitendes Melanom (SSM)
Diagnose Gruppe
maligner Tumor
Topographie
Haut, untere Extremität
Topographie Gruppe
Haut
Beschreibung
Tumorzellballen mit grossen atypischen melanozytären Zellen umgeben von stark pigmentierten Melanophagen in der papillären Dermis. Innerhalb der gesamten Epidermisbreite finden sich die Tumorzellen alleine oder in kleinen Gruppen.
Zusatzbefund
Leicht erhabener scharf begrenzter brauner in der Mitte dunkelbraun gefärbter Bezirk, max. Dm 15mm Infiltration des Stratum papillare bis an das Stratum reticulare und einer max. Tumordicke von 1,12mm (pT2; Clark Level III).
Klinik
Verdächtiger Nävus Kniekehle links.
Bilder Typ
Histologie
Vergrösserung
200
Alter
43
Geschlecht
unbekannt
Datum
Ersteintrag: 13.01.2002