Wichtiger Sicherheitshinweis: Pathorama wurde zwischen dem 26. und 27. Dezember 2025 angegriffen. Falls Sie die Website in diesem Zeitraum besucht haben, lesen Sie bitte die wichtigen Informationen hier:
Zur Information

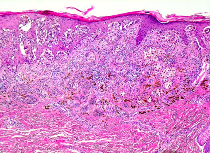
PathoPic – image database / PathoPic ID 3959 - oberflächlich spreitendes Melanom (SSM)

de
Diagnose
oberflächlich spreitendes Melanom (SSM)
Diagnose Gruppe
maligner Tumor
Topographie
Haut, untere Extremität
Topographie Gruppe
Haut
Beschreibung
Asymmetrischer melanozytärer Tumor bestehend aus auffallend grossen Zellnestern, welche zur Tiefe hin kaum an Grösse abnehmen und sich auch in oberen Anteilen der Epidermis ausbreiten.
Zusatzbefund
Leicht erhabener scharf begrenzter brauner in der Mitte dunkelbraun gefärbter Bezirk, max. Dm 15mm Infiltration des Stratum papillare bis an das Stratum reticulare und einer max. Tumordicke von 1,12mm (pT2; Clark Level III).
Klinik
Verdächtiger Nävus Kniekehle links.
Bilder Typ
Histologie
Vergrösserung
50
Alter
43
Geschlecht
unbekannt
Datum
Ersteintrag: 13.01.2002