Wichtiger Sicherheitshinweis: Pathorama wurde zwischen dem 26. und 27. Dezember 2025 angegriffen. Falls Sie die Website in diesem Zeitraum besucht haben, lesen Sie bitte die wichtigen Informationen hier:
Zur Information

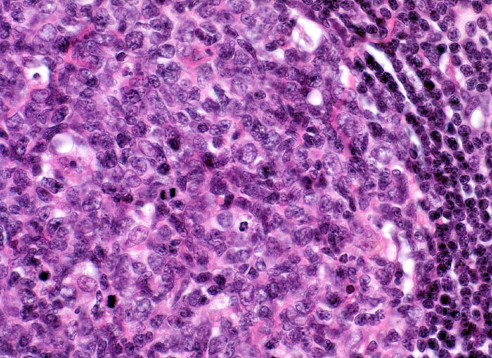
PathoPic – image database / PathoPic ID 3919 - Lymphknoten Sekundärfollikel mit Keimzentrum

de
Diagnose
Lymphknoten Sekundärfollikel mit Keimzentrum
Diagnose Gruppe
Normalbefund
Topographie
Lymphknoten, abdominal
Topographie Gruppe
Lymphatische Gewebe, KM, Milz
Beschreibung
Keimzentrum mit kleinen zytoplasmaarmen Zentrozyten mit eckigen Kernen, grösseren Zentroblasten und follikulär dendritischen Zellen und Kerntrümmermakrophagen. Vereinzelt erkennbare Mitosen. Rechts im Bild dichtgepackte Lymphozyten in der Mantelzone.
Klinik
Perikolischer tumorfreier Lymphknoten aus dem Abflussgebiet eines wenig fortgeschrittenen Kolonkarzinoms.
Bilder Typ
Histologie
Vergrösserung
400
Alter
54
Geschlecht
unbekannt
Datum
Ersteintrag: 28.09.2002