Wichtiger Sicherheitshinweis: Pathorama wurde zwischen dem 26. und 27. Dezember 2025 angegriffen. Falls Sie die Website in diesem Zeitraum besucht haben, lesen Sie bitte die wichtigen Informationen hier:
Zur Information

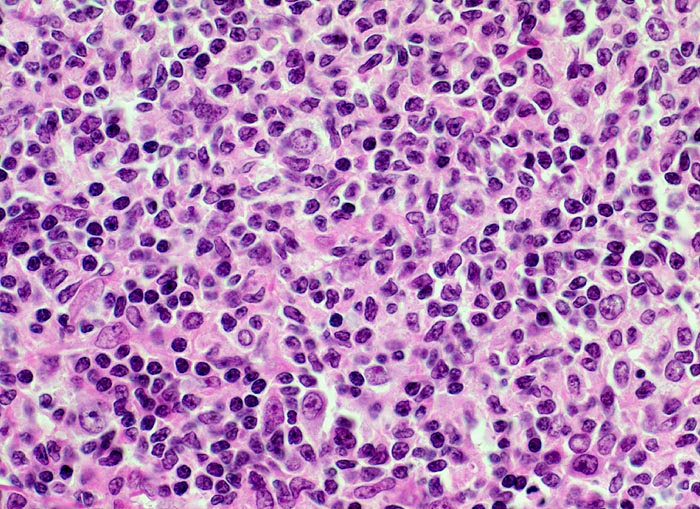
PathoPic – image database / PathoPic ID 3915 - Follikuläres B-Zell Non-Hodgkin-Lymphom: neoplastisches Keimzentrum

de
Diagnose
Follikuläres B-Zell Non-Hodgkin-Lymphom: neoplastisches Keimzentrum
Diagnose Gruppe
maligner Tumor
Topographie
Lymphknoten, abdominal
Topographie Gruppe
Lymphatische Gewebe, KM, Milz
Beschreibung
Neoplastisches Keimzentrum mit wenigen runden Lymphozyten, zahlreichen kleinen eckigen Zentrozyten und wenigen eingestreuten Zentroblasten erkennbar an ihren grossen Kernen mit mehreren randständigen Nukleolen.
Klinik
Generalisierte Lymphknotenvergrösserung peripher und zentral (abdominal und thorakal). Abgesehen von vergrösserten Lymphknoten keine Symptome.
Kommentar
Das Grading follikulärer Lymphome basiert auf der Anzahl Zentroblasten, welche pro hochauflösendem Gesichtsfeld (400x) in neoplastischen Follikeln beobachtet werden können.
Grad 1: 0-5 Zentroblasten pro HPF
Grad 2: 6-15 Zentroblasten pro HPF
Grad 3: >15 Zentroblasten pro HPF
Das Grading hat therapeutische Konsequenzen und ist zusätzlich von prognostischer Bedeutung.
Bilder Typ
Histologie
Vergrösserung
400
Alter
58
Geschlecht
unbekannt
Datum
Ersteintrag: 28.09.2002