Wichtiger Sicherheitshinweis: Pathorama wurde zwischen dem 26. und 27. Dezember 2025 angegriffen. Falls Sie die Website in diesem Zeitraum besucht haben, lesen Sie bitte die wichtigen Informationen hier:
Zur Information

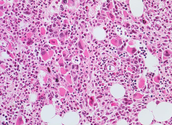
PathoPic – image database / PathoPic ID 3907 - Primäre Myelofibrose (PMF)

de
Diagnose
Primäre Myelofibrose (PMF)
Diagnose Gruppe
maligner Tumor
Topographie
Knochenmark, Beckenkamm
Topographie Gruppe
Lymphatische Gewebe, KM, Milz
Beschreibung
Vermehrung von atypischen in Gruppen liegenden Megakaryozyten in perisinusoidaler Position. Typisch ist die intravasale Hämopoese in dilatierten Sinusoiden. Hyperplasie von ausreifenden Granulozyten. Erythropoese hypoplastisch. Durch die Fibrose entsteht der Eindruck von strömenden Zellen.
Klinik
Splenomegalie, leichte Anämie, Leukozytose und Thrombozytose festgestellt bei einer Routineuntersuchung. Abgesehen von leichter Müdigkeit asymptomatische Patientin.
Kommentar
Die Megakaryozyten sind bei der primären Myelofibrose deutlich vermehrt und bilden oftmals Haufen. Sie zeigen eine deutliche Reifungsstörung mit hypolobulierten chromatindichten Kernen und Grössen zwischen Riesen- und Mikroformen (nackte Megakaryozytenkerne ohne Zytoplasma).
Bilder Typ
Histologie
Vergrösserung
200
Alter
62
Geschlecht
unbekannt
Datum
Ersteintrag: 28.09.2002
Update: 16.08.2012