Wichtiger Sicherheitshinweis:
Pathorama wurde zwischen dem
26. und 27. Dezember 2025
angegriffen. Falls Sie die Website in diesem Zeitraum besucht haben, lesen Sie bitte die wichtigen Informationen hier:
Zur Information
Pathopic
HiPaKu
ZyPaKu
Projektinfos
PathoPic - Projekt- und Copyright-Info
About
Pathopic
HiPaKu
ZyPaKu
PathoPic – image database
/
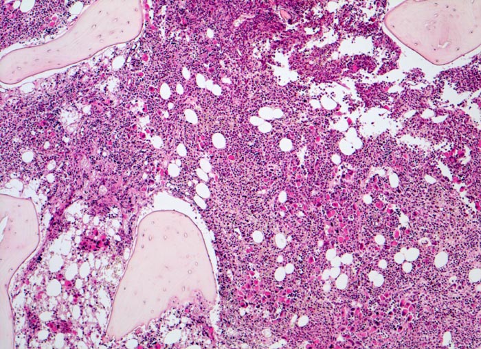
PathoPic ID 3904 - Primäre Myelofibrose (PMF)
de
Diagnose
Primäre Myelofibrose (PMF)
Diagnose Gruppe
maligner Tumor
Topographie
Knochenmark, Beckenkamm
Topographie Gruppe
Lymphatische Gewebe, KM, Milz
Beschreibung
Hyperplastisches Mark mit wechselnder Verdrängung des Fettmarks. Schon in der Übersicht sind grössere
Gruppen von Megakaryozyten erkennbar.
Klinik
Splenomegalie, leichte Anämie, Leukozytose und Thrombozytose festgestellt bei einer Routineuntersuchung bei asymptomatischer Patientin.
Bilder Typ
Histologie
Vergrösserung
50
Alter
62
Geschlecht
unbekannt
Datum
Ersteintrag: 13.01.2002
Update: 16.08.2012
CPS
·
©
2025 Institut für Pathologie Basel
/
Dr. med. Katharina Glatz-Krieger
.
·
v2.2