Wichtiger Sicherheitshinweis: Pathorama wurde zwischen dem 26. und 27. Dezember 2025 angegriffen. Falls Sie die Website in diesem Zeitraum besucht haben, lesen Sie bitte die wichtigen Informationen hier:
Zur Information

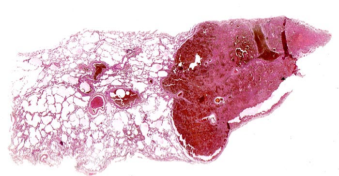
PathoPic – image database / PathoPic ID 3887 - hämorrhagischer Lungeninfarkt

de
Diagnose
hämorrhagischer Lungeninfarkt
Diagnose Gruppe
vaskulär / Durchblutungsstörung
Topographie
Lunge
Topographie Gruppe
Lunge, Mediastinum mit Thymus
Beschreibung
Frische blutdurchtränkte dreieckige Nekrosezone ohne Organisationszeichen in der Peripherie des Infarktes. Als Ursache für den Infarkt lässt sich im angrenzenden Lungenparenchym ein frischer Embolus in einem peripheren Lungenarterienast nachweisen. Auch dieser zeigt keine Organisationszeichen (kein Kontakt zwischen Gefässwand und Embolus).
Klinik
Tiefe Beinvenenthrombosen bei metastasierendem Prostatakarzinom. Koronare Herzkrankheit.
Bilder Typ
Histologie
Vergrösserung
Scan
Alter
86
Geschlecht
männlich
Datum
Ersteintrag: 31.12.2001