Wichtiger Sicherheitshinweis:
Pathorama wurde zwischen dem
26. und 27. Dezember 2025
angegriffen. Falls Sie die Website in diesem Zeitraum besucht haben, lesen Sie bitte die wichtigen Informationen hier:
Zur Information
Pathopic
HiPaKu
ZyPaKu
Projektinfos
PathoPic - Projekt- und Copyright-Info
About
Pathopic
HiPaKu
ZyPaKu
PathoPic – image database
/
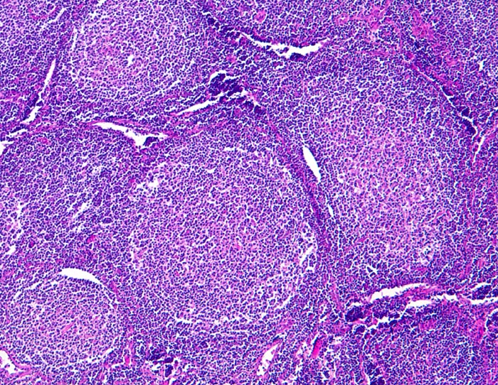
PathoPic ID 3879 - Follikuläres B-Zell Non-Hodgkin-Lymphom
de
Diagnose
Follikuläres B-Zell Non-Hodgkin-Lymphom
Diagnose Gruppe
maligner Tumor
Topographie
Lymphknoten, abdominal
Topographie Gruppe
Lymphatische Gewebe, KM, Milz
Beschreibung
Bildung von
neoplastischen Follikeln ohne typische Zonierung. Die Follikel stehen dicht aneinander, Follikelmäntel fehlen.
Klinik
Generalisierte Lymphknotenvergrösserung peripher und zentral (abdominal und thorakal). Abgesehen von vergrösserten Lymphknoten keine Symptome.
Kommentar
Die diffusen Areale zwischen den Follikeln können eine Sklerose aufweisen.
Bilder Typ
Histologie
Vergrösserung
50
Alter
58
Geschlecht
unbekannt
Datum
Ersteintrag: 26.09.2002
CPS
·
©
2025 Institut für Pathologie Basel
/
Dr. med. Katharina Glatz-Krieger
.
·
v2.2