Wichtiger Sicherheitshinweis:
Pathorama wurde zwischen dem
26. und 27. Dezember 2025
angegriffen. Falls Sie die Website in diesem Zeitraum besucht haben, lesen Sie bitte die wichtigen Informationen hier:
Zur Information
Pathopic
HiPaKu
ZyPaKu
Projektinfos
PathoPic - Projekt- und Copyright-Info
About
Pathopic
HiPaKu
ZyPaKu
PathoPic – image database
/
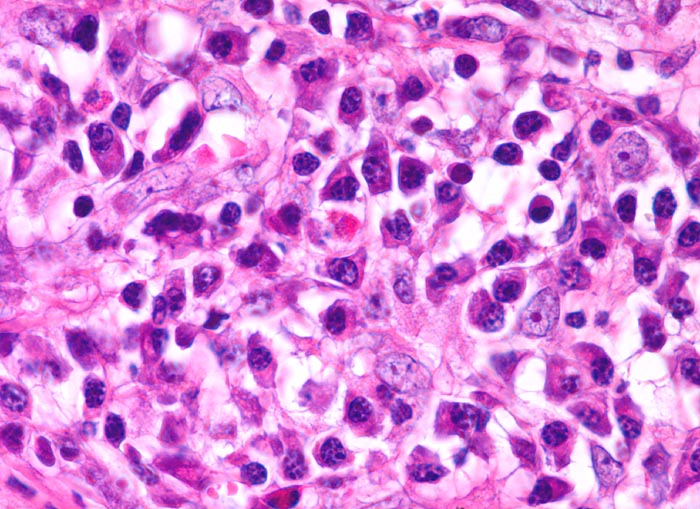
PathoPic ID 3878 - Hodgkin-Lymphom, reaktives gemischtes Zellinfiltrat
de
Diagnose
Hodgkin-Lymphom, reaktives gemischtes Zellinfiltrat
Diagnose Gruppe
maligner Tumor
Topographie
Lymphknoten, mediastinal
Topographie Gruppe
Lymphatische Gewebe, KM, Milz
Beschreibung
Mischzellinfiltrat aus reaktiven, nicht-malignen Zellen wechselnder Zusammensetzung: Lymphozyten,
Histiozyten, eosinophile Granulozyten, zahlreiche
Plasmazellen.
Zusatzbefund
Hodgkin Lymphom, noduläre Sklerose
Klinik
Mediastinaler Tumorbulk.
Bilder Typ
Histologie
Vergrösserung
630
Alter
21
Geschlecht
unbekannt
Datum
Ersteintrag: 26.09.2002
CPS
·
©
2025 Institut für Pathologie Basel
/
Dr. med. Katharina Glatz-Krieger
.
·
v2.2