Wichtiger Sicherheitshinweis: Pathorama wurde zwischen dem 26. und 27. Dezember 2025 angegriffen. Falls Sie die Website in diesem Zeitraum besucht haben, lesen Sie bitte die wichtigen Informationen hier:
Zur Information

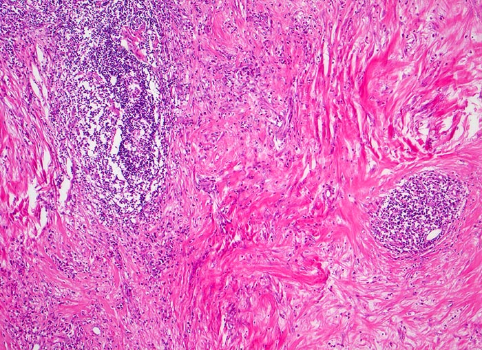
PathoPic – image database / PathoPic ID 3877 - Hodgkin-Lymphom, noduläre Sklerose

de
Diagnose
Hodgkin-Lymphom, noduläre Sklerose
Diagnose Gruppe
maligner Tumor
Topographie
Lymphknoten, mediastinal
Topographie Gruppe
Lymphatische Gewebe, KM, Milz
Beschreibung
Zerstörung der regulären Zonierung und Gliederung des Lymphknotens durch breite Kollagenfaserstränge, welche Knoten von lymphatischem Gewebe abgrenzen.
Klinik
Mediastinaler Tumorbulk.
Bilder Typ
Histologie
Vergrösserung
50
Alter
21
Geschlecht
unbekannt
Datum
Ersteintrag: 31.12.2001