Wichtiger Sicherheitshinweis: Pathorama wurde zwischen dem 26. und 27. Dezember 2025 angegriffen. Falls Sie die Website in diesem Zeitraum besucht haben, lesen Sie bitte die wichtigen Informationen hier:
Zur Information

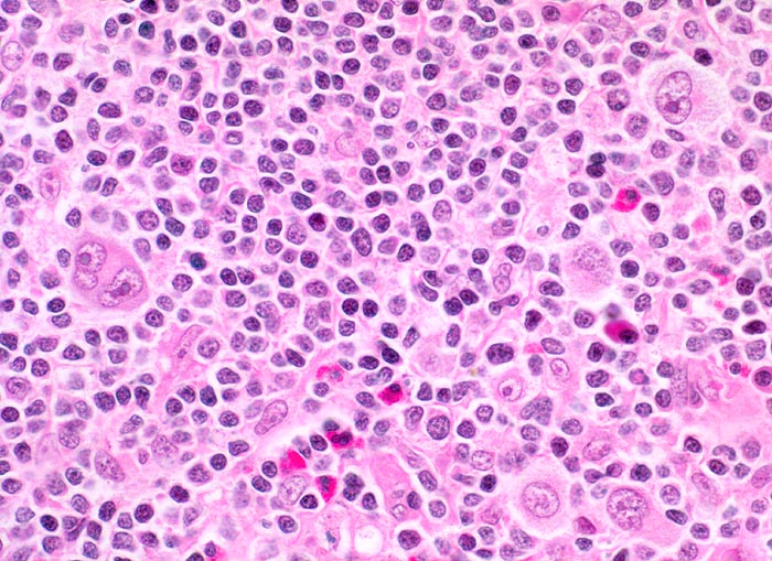
PathoPic – image database / PathoPic ID 3874 - Hodgkin-Lymphom, Mischzelltyp

de
Diagnose
Hodgkin-Lymphom, Mischzelltyp
Diagnose Gruppe
maligner Tumor
Topographie
Lymphknoten, Kopf-cervikal
Topographie Gruppe
Lymphatische Gewebe, KM, Milz
Beschreibung
Die neoplastischen einkernigen Hodgkin Zellen und mehrkernigen Reed-Sternberg Zellen werden umgeben von einem reaktiven Zellgemisch aus Lymphozyten, Histiozyten, eosinophilen Granulozyten und vereinzelten Plasmazellen.
Klinik
Vergrösserte zervikale und axilläre Lymphknoten, Fieber und Nachtschweiss.
Kommentar
Reed-Sternberg-Zellen sind grosse mehrkernige Zellen mit spiegelbildlich angeordneten Kernen und grossen eosinophilen Nukleolen. Sie entstehen aus Hodgkin-Zellen. Im Gegensatz zur nodulären Sklerose zeigen die neoplastischen Zellen beim Mischzelltyp keinen Retraktionsartefakt des Zytoplasma.
Bilder Typ
Histologie
Vergrösserung
400
Alter
28
Geschlecht
männlich
Datum
Ersteintrag: 01.07.2002