Wichtiger Sicherheitshinweis:
Pathorama wurde zwischen dem
26. und 27. Dezember 2025
angegriffen. Falls Sie die Website in diesem Zeitraum besucht haben, lesen Sie bitte die wichtigen Informationen hier:
Zur Information
Pathopic
HiPaKu
ZyPaKu
Projektinfos
PathoPic - Projekt- und Copyright-Info
About
Pathopic
HiPaKu
ZyPaKu
PathoPic – image database
/
PathoPic ID 3871 - Tubargravidität
de
Diagnose
Tubargravidität
Topographie
Tuba uterina
Topographie Gruppe
Genitalorgane, weiblich
Beschreibung
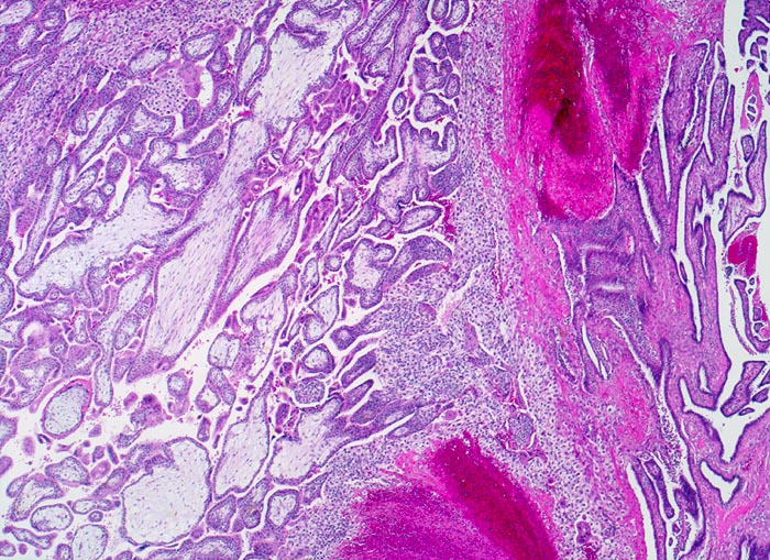
Rechts im Bild Tubenschleimhaut. Links im Bild Dezidua und Plazentarzotten aus Frühschwangerschaft.
Kommentar
Extrauteringravidität
Bilder Typ
Histologie
Vergrösserung
25
Alter
28
Geschlecht
unbekannt
Datum
Ersteintrag: 31.12.2001
Update: 10.08.2010
CPS
·
©
2025 Institut für Pathologie Basel
/
Dr. med. Katharina Glatz-Krieger
.
·
v2.2