Wichtiger Sicherheitshinweis: Pathorama wurde zwischen dem 26. und 27. Dezember 2025 angegriffen. Falls Sie die Website in diesem Zeitraum besucht haben, lesen Sie bitte die wichtigen Informationen hier:
Zur Information

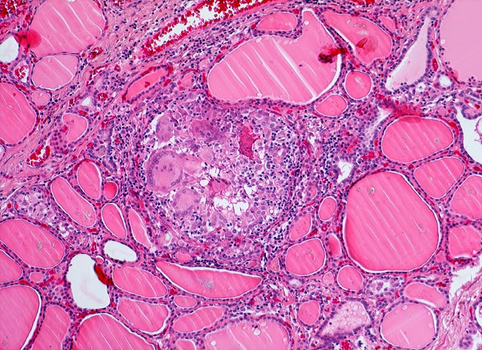
PathoPic – image database / PathoPic ID 3782 - floride Thyreoiditis de Quervain

de
Diagnose
floride Thyreoiditis de Quervain
Diagnose Gruppe
Entzündung / Reparatur
Topographie
Schilddrüse
Topographie Gruppe
Endokrinium
Beschreibung
Fokale granulomatöse Entzündung aus Riesenzellen, Histiozyten mononukleären Entzündungszellen. Daneben intakte Follikel. Das Follikelepithel ist flach und das Kolloid dickflüssig (morphologisch also keine Zeichen der Überfunktion).
Klinik
Szintigraphisch warmes Areal. Druckschmerzhafte Schilddrüse. Hyperthyreose.
Kommentar
Die Hyperthyreose ist in diesem frühen Stadium der Erkrankung durch eine entzündlich bedingte vermehrte Hormonfreisetzung bedingt.
Bilder Typ
Histologie
Vergrösserung
100
Alter
54
Geschlecht
unbekannt
Datum
Ersteintrag: 31.12.2001