Wichtiger Sicherheitshinweis: Pathorama wurde zwischen dem 26. und 27. Dezember 2025 angegriffen. Falls Sie die Website in diesem Zeitraum besucht haben, lesen Sie bitte die wichtigen Informationen hier:
Zur Information

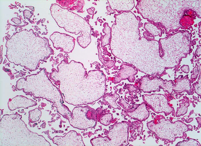
PathoPic – image database / PathoPic ID 3725 - Partialmole bei Triploidie

de
Diagnose
Partialmole bei Triploidie
Diagnose Gruppe
angeboren /genetisch/Missbildung
Topographie
Abortmaterial
Topographie Gruppe
Paidopathologie
Beschreibung
Grosse plumpe mangelhaft verzweigte Zotten. Mangelhafte Vaskularisation und hydropische Umwandlung des Stromas der Plazentarzotten.
Zusatzbefund
Karyotyp 69, XXX
Klinik
29 jährige mit Abort in der 8. SSW
Kommentar
Im Gegensatz zur Mole nur geringe Trophoblastproliferation. Bei Partialmolen liegt ein diploider Chromosomensatz des Vaters und ein haploider der Mutter vor. Triploidien lassen sich bei etwa 15% chromosomal bedingter Aborte nachweisen. Triploide Früchte erreichen nur extrem selten Geburtsreife.
Bilder Typ
Histologie
Vergrösserung
25
Alter
-8
Geschlecht
männlich
Datum
Ersteintrag: 07.04.2002