Wichtiger Sicherheitshinweis: Pathorama wurde zwischen dem 26. und 27. Dezember 2025 angegriffen. Falls Sie die Website in diesem Zeitraum besucht haben, lesen Sie bitte die wichtigen Informationen hier:
Zur Information

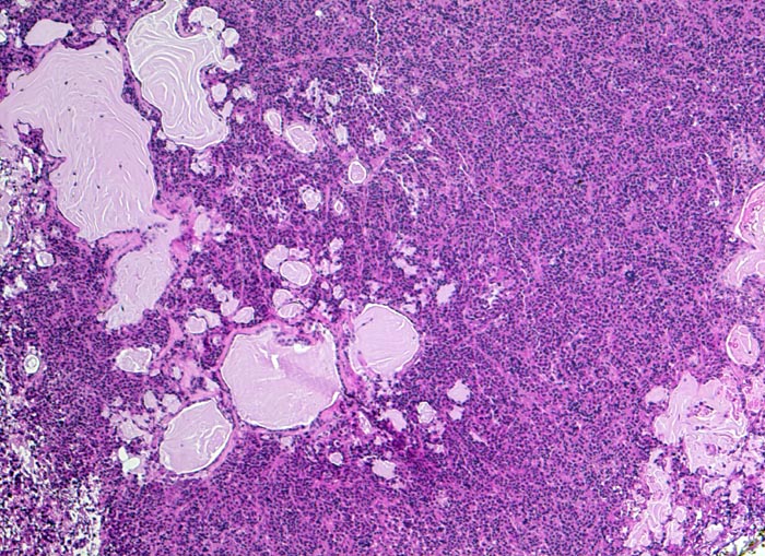
PathoPic – image database / PathoPic ID 3626 - diffus wachsendes chromophobes Hypophysenadenom

de
Diagnose
diffus wachsendes chromophobes Hypophysenadenom
Diagnose Gruppe
benigner Tumor
Topographie
Hypophyse, Vorderlappen
Topographie Gruppe
Endokrinium
Beschreibung
Vereinzelte epithelialisierte Zysten, sehr wahrscheinlich der Pars intermedia entsprechend. Daneben ein diffuses Tumorinfiltrat aus kleinen zytoplasmareichen Zellen.
Zusatzbefund
Expression von Prolactin in 100% der Tumorzellen (Prolactinom), herdförmiger Expression von ACTH in isolierten Zellen und in vereinzelten Tumorzellverbänden. Expression von Beta-TSH in isolierten Tumorzellen. MIB-1-Index weit unter 1%.
Klinik
Hypophysenmakroadenom mit erhöhtem Prolaktinspiegel
Bilder Typ
Histologie
Vergrösserung
50
Alter
37
Geschlecht
männlich
Datum
Ersteintrag: 27.12.2001