Wichtiger Sicherheitshinweis: Pathorama wurde zwischen dem 26. und 27. Dezember 2025 angegriffen. Falls Sie die Website in diesem Zeitraum besucht haben, lesen Sie bitte die wichtigen Informationen hier:
Zur Information

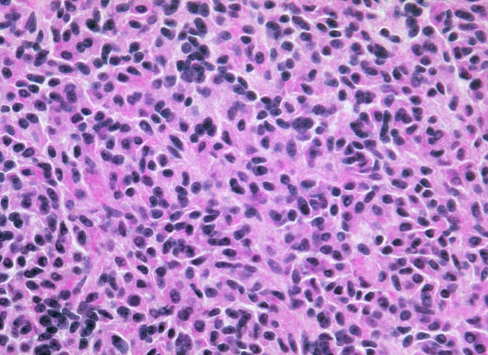
PathoPic – image database / PathoPic ID 3585 - diffus wachsendes chromophobes Hypophysenadenom

de
Diagnose
diffus wachsendes chromophobes Hypophysenadenom
Diagnose Gruppe
benigner Tumor
Topographie
Hypophyse, Vorderlappen
Topographie Gruppe
Endokrinium
Beschreibung
Tumorzellen mit kleinen spindeligen Kernen und reichlich eosinophilem Zytoplasma.
Zusatzbefund
Expression von Prolactin in 100% der Tumorzellen (Prolactinom), herdförmiger Expression von ACTH in isolierten Zellen und in vereinzelten Tumorzellverbänden. Expression von Beta-TSH in isolierten Tumorzellen. MIB-1-Index weit unter 1%. Vereinzelte epithelialisierte Zysten, sehr wahrscheinlich der Pars intermedia entsprechend.
Klinik
Hypophysenmakroadenom mit erhöhtem Prolaktinspiegel
Bilder Typ
Histologie
Vergrösserung
320
Alter
37
Geschlecht
männlich
Datum
Ersteintrag: 29.12.2001