Wichtiger Sicherheitshinweis: Pathorama wurde zwischen dem 26. und 27. Dezember 2025 angegriffen. Falls Sie die Website in diesem Zeitraum besucht haben, lesen Sie bitte die wichtigen Informationen hier:
Zur Information

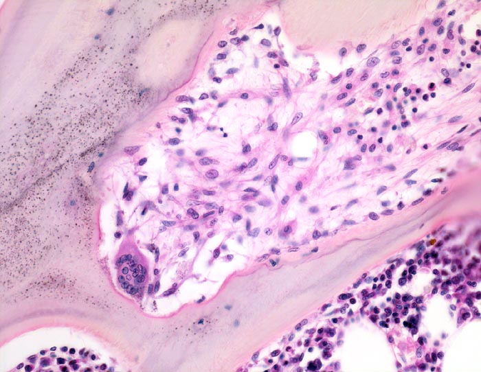
PathoPic – image database / PathoPic ID 3582 - Fibroosteoklasie: Resorptionslakune

de
Diagnose
Fibroosteoklasie: Resorptionslakune
Diagnose Gruppe
Systemerkrankung/Immunpathologie
Topographie
Knochen, Becken
Topographie Gruppe
Knochen, Knorpel, Gelenke
Beschreibung
Spongiosabälkchen mit tiefer Resorptionslakune, die das Bälkchen tunnelartig aushöhlt. In dieser Lakune links unten im Bild ein Osteoklast mit >10 Kernen/Schnittebene. Parallel zur Spongiosaoberfläche vermehrt Osteoblasten. Die Resorptionslakune ist aufgefüllt mit lockerem Bindegewebe gebildet von Fibroblasten.
Klinik
Adenom der Nebenschilddrüse mit primärem Hyperparathyreoidismus. Nephrolithiasis.
Kommentar
-
Bilder Typ
Histologie
Vergrösserung
200
Alter
61
Geschlecht
männlich
Datum
Ersteintrag: 26.09.2002
Update: 01.12.2008