Wichtiger Sicherheitshinweis: Pathorama wurde zwischen dem 26. und 27. Dezember 2025 angegriffen. Falls Sie die Website in diesem Zeitraum besucht haben, lesen Sie bitte die wichtigen Informationen hier:
Zur Information

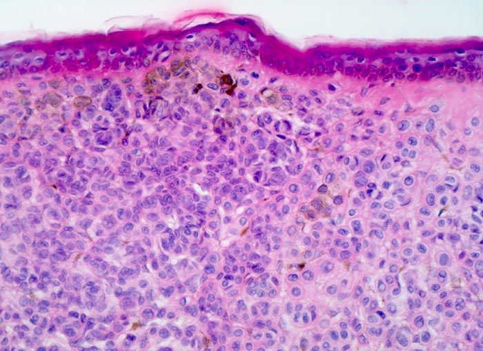
PathoPic – image database / PathoPic ID 3577 - dermaler Naevuszellnaevus

de
Diagnose
dermaler Naevuszellnaevus
Diagnose Gruppe
benigner Tumor
Topographie
Haut, Rumpf
Topographie Gruppe
Haut
Beschreibung
Dünne Epidermis ohne Infiltrate von Naevuszellen. Die Naevuszellen im Corium bilden dichtliegende Zellballen. Vor allem in den oberflächlichen Naevuszellen lässt sich braunes Melaninpigment nachweisen.
Klinik
Graubraune, leicht erhabene, scharf begrenzte Hautveränderung über dem Schulterblatt.
Bilder Typ
Histologie
Vergrösserung
200
Alter
27
Geschlecht
männlich
Datum
Ersteintrag: 17.12.2001