Wichtiger Sicherheitshinweis: Pathorama wurde zwischen dem 26. und 27. Dezember 2025 angegriffen. Falls Sie die Website in diesem Zeitraum besucht haben, lesen Sie bitte die wichtigen Informationen hier:
Zur Information

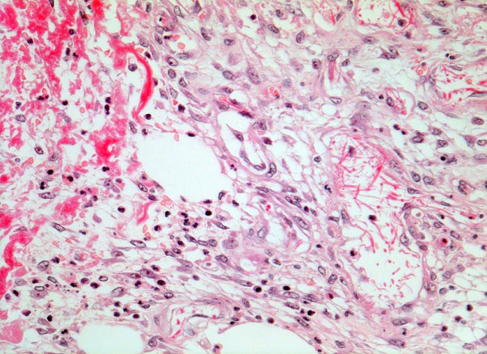
PathoPic – image database / PathoPic ID 3574 - Wundheilung: Granulationsgewebe

de
Diagnose
Wundheilung: Granulationsgewebe
Diagnose Gruppe
Entzündung / Reparatur
Topographie
Haut, Rumpf
Topographie Gruppe
Haut
Beschreibung
Lockeres, ödematöses Granulationsgewebe mit spindelförmigen Fibroblasten und wenigen neutrophilen Granulozyten. Links im Bild hellrotes Fibrin mit einzelnen neutrophilen Granulozyten.
Klinik
6 Tage alte Wunde am Abdomen nach Laparotomie.
Bilder Typ
Histologie
Vergrösserung
320
Alter
42
Geschlecht
männlich
Datum
Ersteintrag: 17.12.2001