Wichtiger Sicherheitshinweis: Pathorama wurde zwischen dem 26. und 27. Dezember 2025 angegriffen. Falls Sie die Website in diesem Zeitraum besucht haben, lesen Sie bitte die wichtigen Informationen hier:
Zur Information

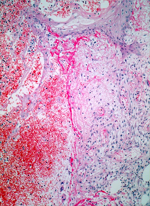
PathoPic – image database / PathoPic ID 3573 - Wundheilung: Granulationsgewebe

de
Diagnose
Wundheilung: Granulationsgewebe
Diagnose Gruppe
Entzündung / Reparatur
Topographie
Haut, Rumpf
Topographie Gruppe
Haut
Beschreibung
Blutgefüllter spaltförmiger Defekt im Corium. Am Rand der Wunde rechts im Bild ödematöses Granulationsgewebe mit zahlreichen kapillären Gefässen, Fibroblasten und wenig Entzündungszellen. Hellrote Fibrinauflagerungen auf dem Gewebsdefekt. Neugebildete Epidermis überzieht teilweise den Wundgrund.
Klinik
6 Tage alte Wunde am Abdomen nach Laparotomie.
Bilder Typ
Histologie
Vergrösserung
100
Alter
42
Geschlecht
männlich
Datum
Ersteintrag: 17.12.2001
Update: 22.07.2003