Wichtiger Sicherheitshinweis: Pathorama wurde zwischen dem 26. und 27. Dezember 2025 angegriffen. Falls Sie die Website in diesem Zeitraum besucht haben, lesen Sie bitte die wichtigen Informationen hier:
Zur Information

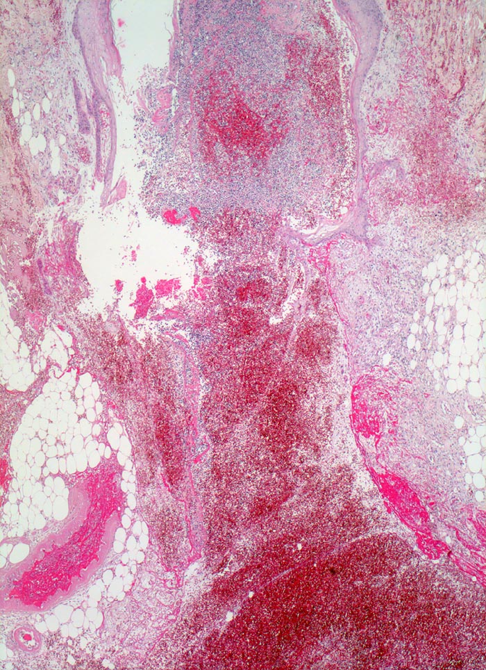
PathoPic – image database / PathoPic ID 3572 - Wundheilung

de
Diagnose
Wundheilung
Diagnose Gruppe
Entzündung / Reparatur
Topographie
Haut, Rumpf
Topographie Gruppe
Haut
Beschreibung
Spaltförmiger Defekt des Plattenepithels, der sich fortsetzt in die darunterliegende Cutis und obere Subcutis, mit spaltförmigem Defekt der Bindegewebsfasern. Am Rand des Defektes Granulationsgewebsbildung und Fibrinauflagerungen.
Klinik
6 Tage alte Wunde am Abdomen nach Laparotomie.
Bilder Typ
Histologie
Vergrösserung
25
Alter
42
Geschlecht
männlich
Datum
Ersteintrag: 17.12.2001