Wichtiger Sicherheitshinweis:
Pathorama wurde zwischen dem
26. und 27. Dezember 2025
angegriffen. Falls Sie die Website in diesem Zeitraum besucht haben, lesen Sie bitte die wichtigen Informationen hier:
Zur Information
Pathopic
HiPaKu
ZyPaKu
Projektinfos
PathoPic - Projekt- und Copyright-Info
About
Pathopic
HiPaKu
ZyPaKu
PathoPic – image database
/
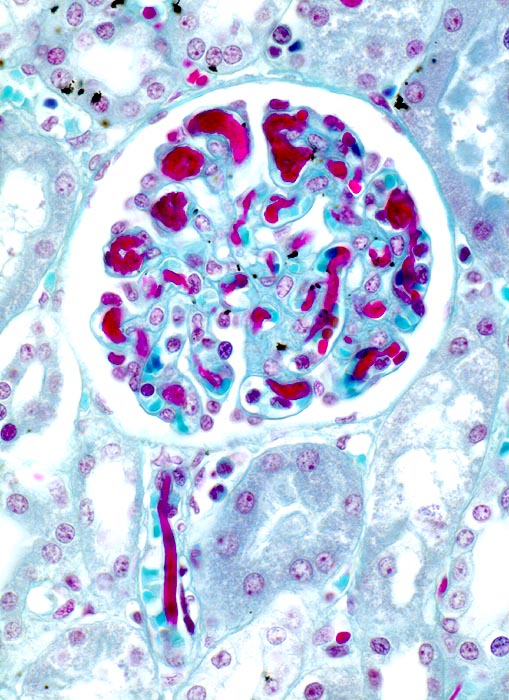
PathoPic ID 3530 - disseminierte intravasale Gerinnung
de
Diagnose
disseminierte intravasale Gerinnung
Diagnose Gruppe
vaskulär / Durchblutungsstörung
Topographie
Niere
Topographie Gruppe
Niere, Harnwege
Beschreibung
Die Glomerulumkapillaren und das
Vas afferens sind angefüllt mit roten wurmförmigen Fibrinthromben.
Klinik
Sepsis. Multiple Hämatome an druckbelasteten Hautlokalisationen. Akutes Nierenversagen.
Bilder Typ
Histologie
Vergrösserung
125
Alter
66
Geschlecht
unbekannt
Datum
Ersteintrag: 13.11.2002
CPS
·
©
2025 Institut für Pathologie Basel
/
Dr. med. Katharina Glatz-Krieger
.
·
v2.2