Wichtiger Sicherheitshinweis: Pathorama wurde zwischen dem 26. und 27. Dezember 2025 angegriffen. Falls Sie die Website in diesem Zeitraum besucht haben, lesen Sie bitte die wichtigen Informationen hier:
Zur Information

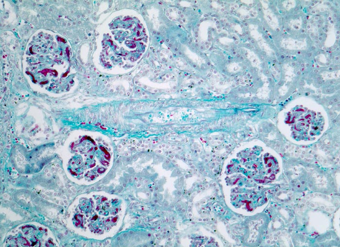
PathoPic – image database / PathoPic ID 3529 - disseminierte intravasale Gerinnung

de
Diagnose
disseminierte intravasale Gerinnung
Diagnose Gruppe
vaskulär / Durchblutungsstörung
Topographie
Niere
Topographie Gruppe
Niere, Harnwege
Beschreibung
Die Glomerulumkapillaren sind angefüllt mit roten wurmförmigen Fibrinthromben. In der kleinen Arterie in der Bildmitte hingegen kein Nachweis von thrombotischem Material.
Klinik
Sepsis. Multiple Hämatome an druckbelasteten Hautlokalisationen. Akutes Nierenversagen.
Bilder Typ
Histologie
Vergrösserung
50
Alter
66
Geschlecht
unbekannt
Datum
Ersteintrag: 13.11.2002