Wichtiger Sicherheitshinweis: Pathorama wurde zwischen dem 26. und 27. Dezember 2025 angegriffen. Falls Sie die Website in diesem Zeitraum besucht haben, lesen Sie bitte die wichtigen Informationen hier:
Zur Information

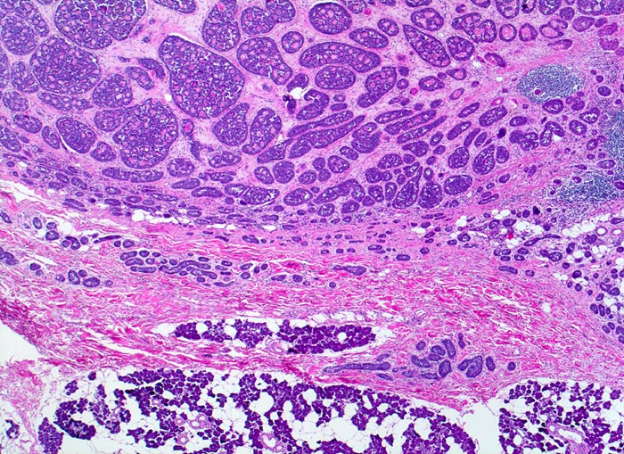
PathoPic – image database / PathoPic ID 3500 - adenoidzystisches Karzinom der Glandula Parotis

de
Diagnose
adenoidzystisches Karzinom der Glandula Parotis
Diagnose Gruppe
maligner Tumor
Topographie
Parotis
Topographie Gruppe
Kopf & Hals, Sinnesorgane
Beschreibung
Unten im Bild eine rein seröse von Fettgewebe durchsetzte Speicheldrüse. Oben im Bild ein unscharf begrenzter aus kribriformen, tubulären und soliden Zellformationen aufgebauter Tumor.
Klinik
Schmerzhafter, rasch wachsender unscharf begrenzter Tumor in der Glandula Parotis.
Bilder Typ
Histologie
Vergrösserung
25
Alter
62
Geschlecht
männlich
Datum
Ersteintrag: 03.02.2002
Update: 21.12.2007