Wichtiger Sicherheitshinweis: Pathorama wurde zwischen dem 26. und 27. Dezember 2025 angegriffen. Falls Sie die Website in diesem Zeitraum besucht haben, lesen Sie bitte die wichtigen Informationen hier:
Zur Information

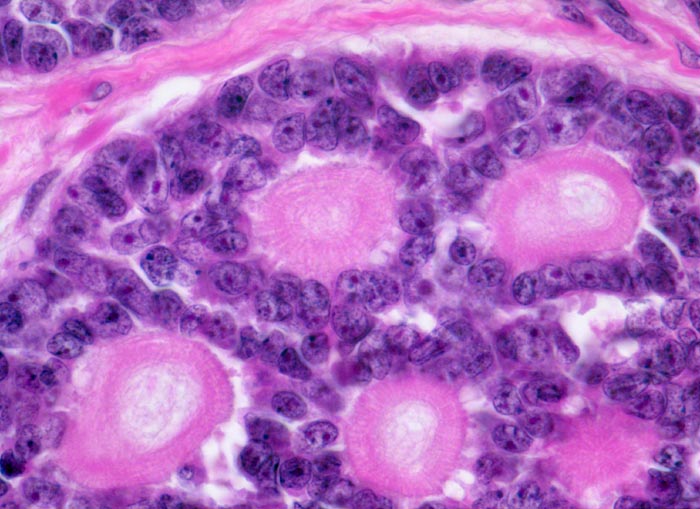
PathoPic – image database / PathoPic ID 3499 - adenoidzystisches Karzinom der Glandula Parotis

de
Diagnose
adenoidzystisches Karzinom der Glandula Parotis
Diagnose Gruppe
maligner Tumor
Topographie
Parotis
Topographie Gruppe
Kopf & Hals, Sinnesorgane
Beschreibung
Kribriformes Wachstumsmuster mit zystischen Hohlräumen. Diese enthalten eosinophiles hyalines Material. Es handelt sich nicht um echte Lumina von Gängen oder Drüsen, sondern um Einschlüsse, die im Kontakt stehen zum Tumorstroma. Kleine Tumorzellen mit eckigen hyperchromatischen Kernen mit prominenten Nukleolen.
Klinik
Schmerzhafter, rasch wachsender unscharf begrenzter Tumor in der Glandula Parotis.
Bilder Typ
Histologie
Vergrösserung
630
Alter
62
Geschlecht
männlich
Datum
Ersteintrag: 25.09.2002
Update: 21.12.2007