Wichtiger Sicherheitshinweis:
Pathorama wurde zwischen dem
26. und 27. Dezember 2025
angegriffen. Falls Sie die Website in diesem Zeitraum besucht haben, lesen Sie bitte die wichtigen Informationen hier:
Zur Information
Pathopic
HiPaKu
ZyPaKu
Projektinfos
PathoPic - Projekt- und Copyright-Info
About
Pathopic
HiPaKu
ZyPaKu
PathoPic – image database
/
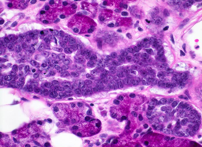
PathoPic ID 3498 - adenoidzystisches Karzinom der Glandula Parotis
de
Diagnose
adenoidzystisches Karzinom der Glandula Parotis
Diagnose Gruppe
maligner Tumor
Topographie
Parotis
Topographie Gruppe
Kopf & Hals, Sinnesorgane
Beschreibung
Solides
Tumorinfiltrat mit scharfer Begrenzung zum umgebenden serösen
Speicheldrüsenparenchym.
Klinik
Schmerzhafter, rasch wachsender unscharf begrenzter Tumor in der Glandula Parotis.
Bilder Typ
Histologie
Vergrösserung
400
Alter
62
Geschlecht
männlich
Datum
Ersteintrag: 17.12.2001
Update: 21.12.2007
CPS
·
©
2025 Institut für Pathologie Basel
/
Dr. med. Katharina Glatz-Krieger
.
·
v2.2