Wichtiger Sicherheitshinweis: Pathorama wurde zwischen dem 26. und 27. Dezember 2025 angegriffen. Falls Sie die Website in diesem Zeitraum besucht haben, lesen Sie bitte die wichtigen Informationen hier:
Zur Information

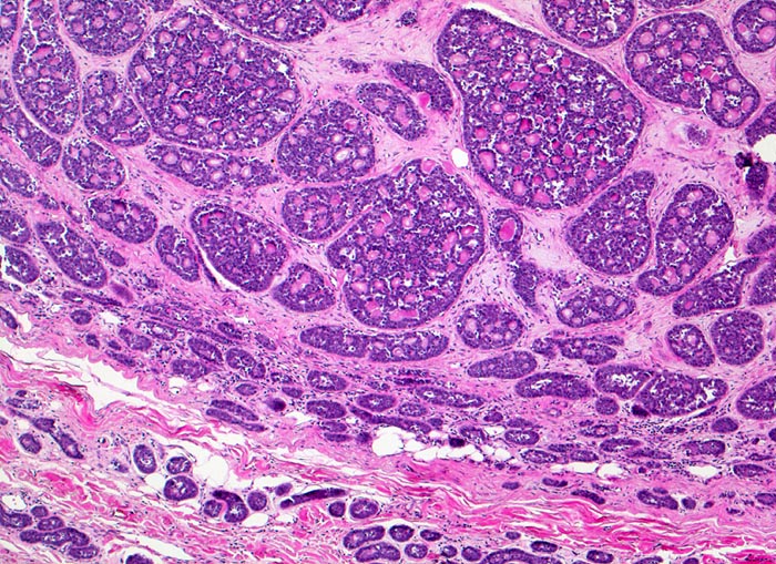
PathoPic – image database / PathoPic ID 3496 - adenoidzystisches Karzinom der Glandula Parotis

de
Diagnose
adenoidzystisches Karzinom der Glandula Parotis
Diagnose Gruppe
maligner Tumor
Topographie
Parotis
Topographie Gruppe
Kopf & Hals, Sinnesorgane
Beschreibung
Die einzelnen Tumorzellaggregate sind scharf begrenzt, teils solide und teils kribriform (siebartige Struktur). Die Hohlräume entsprechen nicht Drüsenlumina, sondern haben Kontakt zum Stroma, was besonders am Rand der kribriformen Strukturen erkennbar ist.
Klinik
Schmerzhafter, rasch wachsender unscharf begrenzter Tumor in der Glandula Parotis.
Bilder Typ
Histologie
Vergrösserung
50
Alter
62
Geschlecht
männlich
Datum
Ersteintrag: 17.12.2001
Update: 21.12.2007