Wichtiger Sicherheitshinweis: Pathorama wurde zwischen dem 26. und 27. Dezember 2025 angegriffen. Falls Sie die Website in diesem Zeitraum besucht haben, lesen Sie bitte die wichtigen Informationen hier:
Zur Information

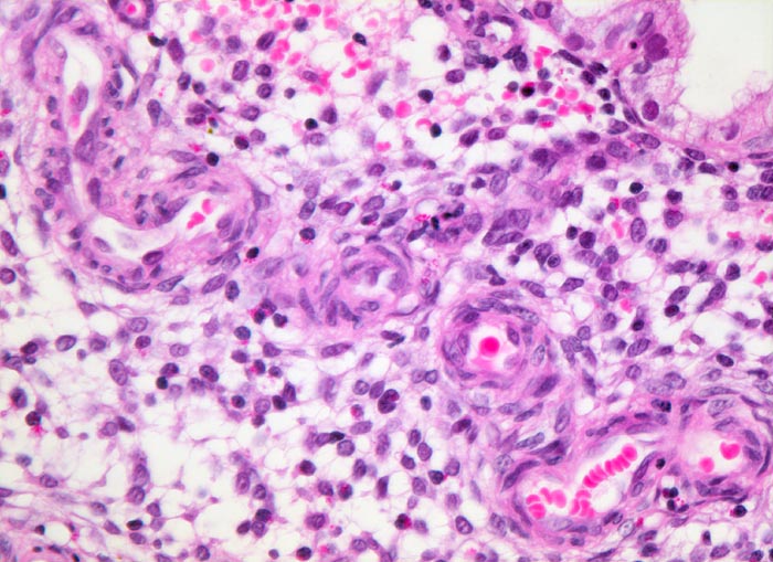
PathoPic – image database / PathoPic ID 3495 - Endometrium in Sekretionsphase: Spiralarterien

de
Diagnose
Endometrium in Sekretionsphase: Spiralarterien
Diagnose Gruppe
Normalbefund
Topographie
Endometrium
Topographie Gruppe
Genitalorgane, weiblich
Beschreibung
Ödematöses Stroma mit prominenten gewundenen Spiralarterien. Das angrenzende Stroma ist ödematös. Es enthält Körnchenzellen mit rotem Zytoplasma. Das Epithel der endometranen Drüsen ist einreihig.
Bilder Typ
Histologie
Alter
42
Geschlecht
unbekannt
Datum
Ersteintrag: 17.12.2001
Update: 10.08.2010