Wichtiger Sicherheitshinweis: Pathorama wurde zwischen dem 26. und 27. Dezember 2025 angegriffen. Falls Sie die Website in diesem Zeitraum besucht haben, lesen Sie bitte die wichtigen Informationen hier:
Zur Information

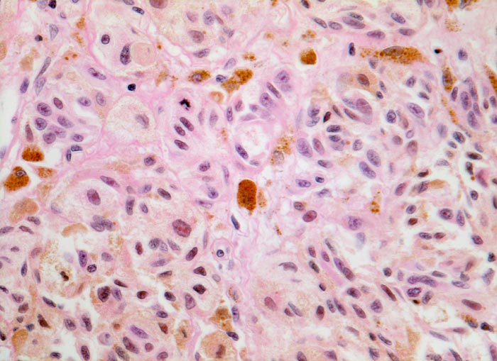
PathoPic – image database / PathoPic ID 3479 - Malignes Melanom

de
Diagnose
Malignes Melanom
Diagnose Gruppe
maligner Tumor
Topographie
Haut, untere Extremität
Topographie Gruppe
Haut
Beschreibung
Atypische pigmentierte Zellen mit reichlich Zytoplasma und vergrösserten atypischen Kernen mit prominenten eosinophilen Nukleolen. Mitose. Zwischen den Tumorzellen Melanophagen mit grobgranulärem intrazytoplasmatischem Pigment.
Zusatzbefund
Stellenweise erhabene, unregelmässig begrenzte und inhomogen gefärbte braun-schwarze Hautläsion.
Klinik
Rasch gewachsene Hautläsion am Unterschenkel.
Kommentar
Der Nachweis von Mitosen in intradermal gelegenen Melanozyten spricht für das Vorliegen eines malignen Melanoms.
Bilder Typ
Histologie
Vergrösserung
320
Alter
57
Geschlecht
unbekannt
Datum
Ersteintrag: 25.09.2002