Wichtiger Sicherheitshinweis:
Pathorama wurde zwischen dem
26. und 27. Dezember 2025
angegriffen. Falls Sie die Website in diesem Zeitraum besucht haben, lesen Sie bitte die wichtigen Informationen hier:
Zur Information
Pathopic
HiPaKu
ZyPaKu
Projektinfos
PathoPic - Projekt- und Copyright-Info
About
Pathopic
HiPaKu
ZyPaKu
PathoPic – image database
/
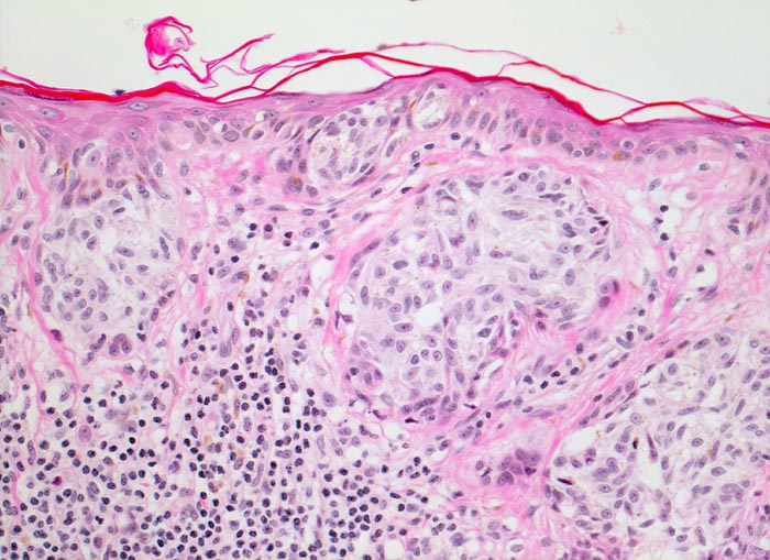
PathoPic ID 3476 - Malignes Melanom
de
Diagnose
Malignes Melanom
Diagnose Gruppe
maligner Tumor
Topographie
Haut, untere Extremität
Topographie Gruppe
Haut
Beschreibung
Atypische, teils pigmentierte Melanozyten bilden
dermale und
intraepidermale Infiltrate. Die tiefer gelengen melanozytären Zellen zeigen keine Ausreifung (fehlende Verkleinerung).
Perifokales chronisches Entzündungsinfiltrat.
Zusatzbefund
Stellenweise erhabene, unregelmässig begrenzte und inhomogen gefärbte braun-schwarze Hautläsion.
Klinik
Rasch gewachsene Hautläsion am Unterschenkel.
Bilder Typ
Histologie
Vergrösserung
200
Alter
57
Geschlecht
unbekannt
Datum
Ersteintrag: 25.09.2002
CPS
·
©
2025 Institut für Pathologie Basel
/
Dr. med. Katharina Glatz-Krieger
.
·
v2.2