Wichtiger Sicherheitshinweis: Pathorama wurde zwischen dem 26. und 27. Dezember 2025 angegriffen. Falls Sie die Website in diesem Zeitraum besucht haben, lesen Sie bitte die wichtigen Informationen hier:
Zur Information

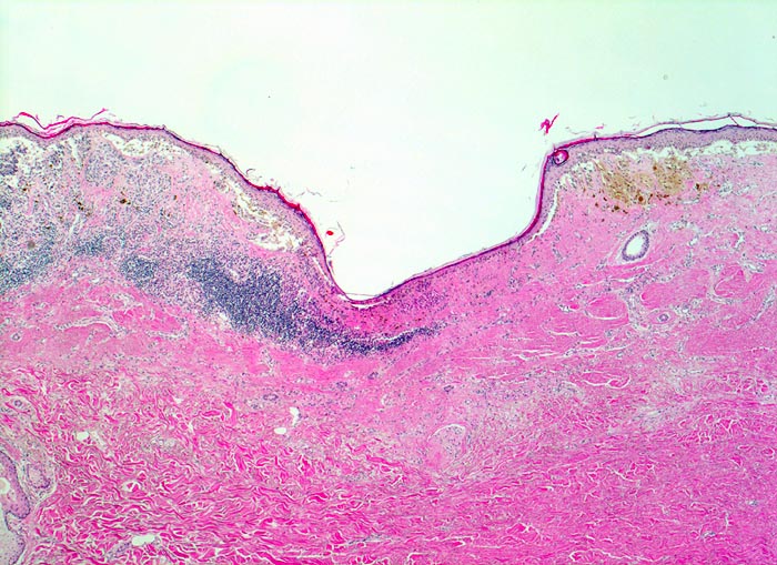
PathoPic – image database / PathoPic ID 3475 - Malignes Melanom

de
Diagnose
Malignes Melanom
Diagnose Gruppe
maligner Tumor
Topographie
Haut, untere Extremität
Topographie Gruppe
Haut
Beschreibung
Asymmetrischer, in der oberen Dermis gelegener, teils pigmentierter Tumor mit begleitendem perifokalem Entzündungsinfiltrat. Fokal fehlen Tumorzellen (Regression). Anstelle der Tumorzellen narbenartige Fibrose und Entzündungszellen.
Zusatzbefund
Stellenweise erhabene, unregelmässig begrenzte und inhomogen gefärbte braun-schwarze Hautläsion.
Klinik
Rasch gewachsene Hautläsion am Unterschenkel.
Kommentar
Der oberflächliche Anteil maligner Melanome zeigt oft Zeichen der Regression. Die Zerstörung der Tumorzellen durch das körpereigene Immunsystem hinterlässt in der papillären Dermis eine narbenartige Fibrosezone, Gefässneubildungen und Melanophagen. Bei vollständiger Regression eines malignen Melanoms kann es vorkommen, dass trotz metastasierendem Tumorleiden kein Primärtumor gefunden wird.
Bilder Typ
Histologie
Vergrösserung
25
Alter
57
Geschlecht
unbekannt
Datum
Ersteintrag: 25.09.2002
Update: 22.07.2003