Wichtiger Sicherheitshinweis: Pathorama wurde zwischen dem 26. und 27. Dezember 2025 angegriffen. Falls Sie die Website in diesem Zeitraum besucht haben, lesen Sie bitte die wichtigen Informationen hier:
Zur Information

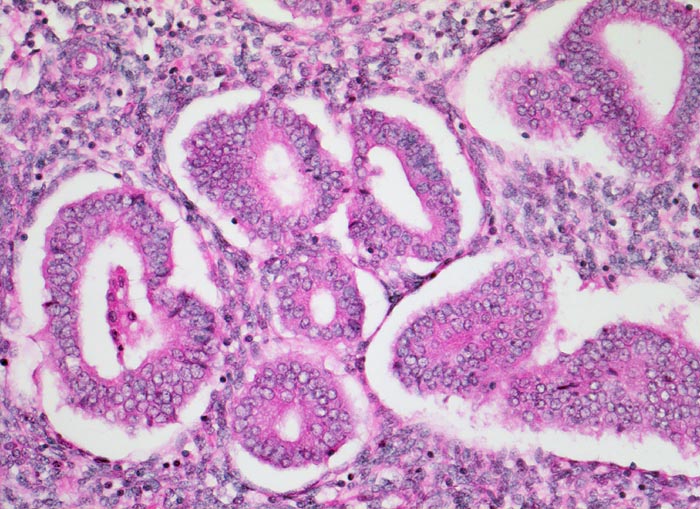
PathoPic – image database / PathoPic ID 3472 - glandulär zystische Hyperplasie der Korpusmukosa

de
Diagnose
glandulär zystische Hyperplasie der Korpusmukosa
Diagnose Gruppe
Hyperplasie / Hypertrophie
Topographie
Endometrium
Topographie Gruppe
Genitalorgane, weiblich
Beschreibung
Proliferierende Drüsen mit mehrreihigem Epithel. Dicht liegende, einander überlagernde bläschenförmige Kerne mit feinem Chromatin. Zwischen den Drüsen endometranes Stroma.
Zusatzbefund
-
Klinik
Meno-Metrorrhagien bei perimenopausaler Patientin. Adipositas.
Bilder Typ
Histologie
Vergrösserung
200
Alter
50
Geschlecht
unbekannt
Datum
Ersteintrag: 25.09.2002
Update: 10.08.2010