Wichtiger Sicherheitshinweis: Pathorama wurde zwischen dem 26. und 27. Dezember 2025 angegriffen. Falls Sie die Website in diesem Zeitraum besucht haben, lesen Sie bitte die wichtigen Informationen hier:
Zur Information

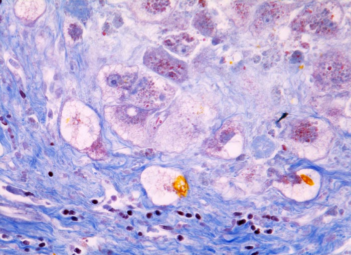
PathoPic – image database / PathoPic ID 3470 - Primäre biliäre Zirrhose im Stadium der Zirrhose: Cholestase

de
Diagnose
Primäre biliäre Zirrhose im Stadium der Zirrhose: Cholestase
Diagnose Gruppe
Systemerkrankung/Immunpathologie
Topographie
Leber
Topographie Gruppe
Leber, Gallenwege, Pankreas
Beschreibung
Ballonierung und Netzdegeneration der periseptalen Hepatozyten. Mallory Körperchen.
Zusatzbefund
-
Klinik
Ikterische Patientin mit Müdigkeit und Pruritus. Positive antimitochondriale Antikörper Fraktion M2. Stark erhöhte Cholestaseparameter (alkalische Phosphatase und gamma-GT).
Bilder Typ
Histologie
Vergrösserung
400
Alter
58
Geschlecht
unbekannt
Datum
Ersteintrag: 30.12.2001