Wichtiger Sicherheitshinweis: Pathorama wurde zwischen dem 26. und 27. Dezember 2025 angegriffen. Falls Sie die Website in diesem Zeitraum besucht haben, lesen Sie bitte die wichtigen Informationen hier:
Zur Information

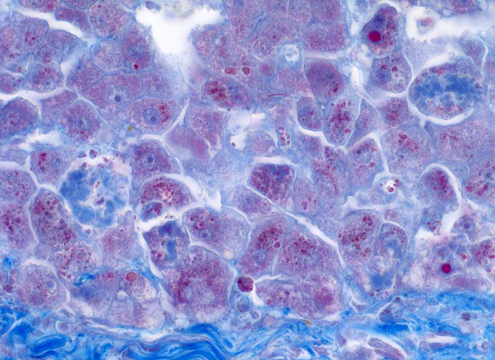
PathoPic – image database / PathoPic ID 3468 - Primäre biliäre Zirrhose: cholestatische Mallory-Denkbodies

de
Diagnose
Primäre biliäre Zirrhose: cholestatische Mallory-Denkbodies
Diagnose Gruppe
Systemerkrankung/Immunpathologie
Topographie
Leber
Topographie Gruppe
Leber, Gallenwege, Pankreas
Beschreibung
In periseptalen Hepatozyten finden sich wurmförmige blaue Mallory-Denk Körperchen. Die gelbroten granulären intrazytoplasmatischen Ablagerungen entsprechen Galle.
Klinik
Ikterische Patientin mit Müdigkeit und Pruritus. Positive antimitochondriale Antikörper Fraktion M2. Stark erhöhte Cholestaseparameter (alkalische Phosphatase und gamma-GT).
Kommentar
Mallory-Denk Körperchen kommen nicht nur bei alkoholtoxischen Lebererkrankungen, sondern auch bei langdauerender Cholestase vor.
Bilder Typ
Histologie
Vergrösserung
400
Alter
58
Geschlecht
unbekannt
Datum
Ersteintrag: 30.12.2001
Update: 06.02.2009