Wichtiger Sicherheitshinweis:
Pathorama wurde zwischen dem
26. und 27. Dezember 2025
angegriffen. Falls Sie die Website in diesem Zeitraum besucht haben, lesen Sie bitte die wichtigen Informationen hier:
Zur Information
Pathopic
HiPaKu
ZyPaKu
Projektinfos
PathoPic - Projekt- und Copyright-Info
About
Pathopic
HiPaKu
ZyPaKu
PathoPic – image database
/
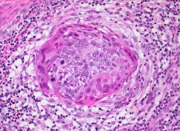
PathoPic ID 3461 - Mikroinvasives Plattenepithelkarzinom der Zervix
de
Diagnose
Mikroinvasives Plattenepithelkarzinom der Zervix
Diagnose Gruppe
maligner Tumor
Topographie
Zervix
Topographie Gruppe
Genitalorgane, weiblich
Beschreibung
Invasiver Herd im Zervixstroma umgeben von desmoplastischer Stromareaktion und Entzündungsinfiltrat.
Klinik
PAP V, HPV high risk Typen
Bilder Typ
Histologie
Vergrösserung
200
Alter
60
Geschlecht
unbekannt
Datum
Ersteintrag: 17.12.2001
Update: 30.07.2010
CPS
·
©
2025 Institut für Pathologie Basel
/
Dr. med. Katharina Glatz-Krieger
.
·
v2.2