Wichtiger Sicherheitshinweis:
Pathorama wurde zwischen dem
26. und 27. Dezember 2025
angegriffen. Falls Sie die Website in diesem Zeitraum besucht haben, lesen Sie bitte die wichtigen Informationen hier:
Zur Information
Pathopic
HiPaKu
ZyPaKu
Projektinfos
PathoPic - Projekt- und Copyright-Info
About
Pathopic
HiPaKu
ZyPaKu
PathoPic – image database
/
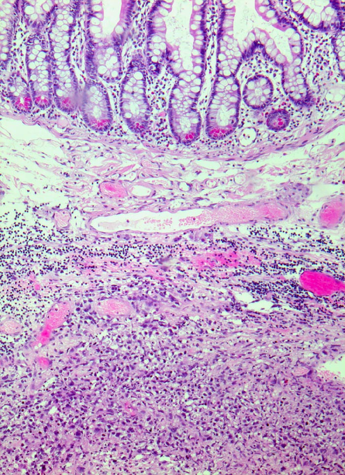
PathoPic ID 3460 - extranodales diffuses grosszelliges B-Zell Lymphom (WHO)
de
Diagnose
extranodales diffuses grosszelliges B-Zell Lymphom (WHO)
Diagnose Gruppe
maligner Tumor
Topographie
Ileum
Topographie Gruppe
Darm, Anus
Beschreibung
Grosszelliges Lymphominfiltrat in der Submukosa.
Zusatzbefund
Immunhistochemie: CD20 positiv, CD3 und CD30 negativ, CD117 negativ
Klinik
Akute Peritonitis bei Darmperforation
Bilder Typ
Histologie
Vergrösserung
50
Alter
88
Geschlecht
unbekannt
Datum
Ersteintrag: 17.12.2001
CPS
·
©
2025 Institut für Pathologie Basel
/
Dr. med. Katharina Glatz-Krieger
.
·
v2.2