Wichtiger Sicherheitshinweis: Pathorama wurde zwischen dem 26. und 27. Dezember 2025 angegriffen. Falls Sie die Website in diesem Zeitraum besucht haben, lesen Sie bitte die wichtigen Informationen hier:
Zur Information

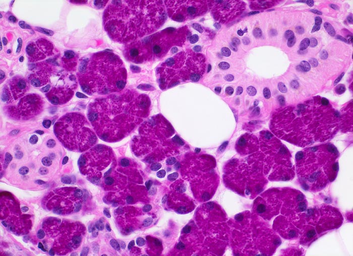
PathoPic – image database / PathoPic ID 3440 - Normale Glandula Parotis

de
Diagnose
Normale Glandula Parotis
Diagnose Gruppe
Normalbefund
Topographie
Parotis
Topographie Gruppe
Kopf & Hals, Sinnesorgane
Beschreibung
Aus serösen Zellen bestehende Drüsenazini. Links im Bild ein Schaltstück mit kubischem Epithel. Rechts im Bild ein Streifstück mit suprabasalen Kernen im auskleidenden Epithel.
Bilder Typ
Histologie
Vergrösserung
630
Alter
42
Geschlecht
unbekannt
Datum
Ersteintrag: 03.02.2002
Update: 21.12.2007