Wichtiger Sicherheitshinweis: Pathorama wurde zwischen dem 26. und 27. Dezember 2025 angegriffen. Falls Sie die Website in diesem Zeitraum besucht haben, lesen Sie bitte die wichtigen Informationen hier:
Zur Information

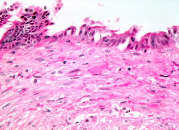
PathoPic – image database / PathoPic ID 3418 - chronische Cholezystitis

de
Diagnose
chronische Cholezystitis
Diagnose Gruppe
Entzündung / Reparatur
Topographie
Gallenblase
Topographie Gruppe
Leber, Gallenwege, Pankreas
Beschreibung
Das Schleimhautrelief ist abgeflacht. Das Epithel zeigt entzündlich bedingte regeneratorische Veränderungen mit vergrösserten Kernen. Das Stroma ist fibrosiert und minimal entzündlich infiltriert.
Zusatzbefund
-
Klinik
Wiederholte rechtsseitige Oberbauchbeschwerden.
Bilder Typ
Histologie
Vergrösserung
320
Alter
65
Geschlecht
männlich
Datum
Ersteintrag: 17.12.2001