Wichtiger Sicherheitshinweis:
Pathorama wurde zwischen dem
26. und 27. Dezember 2025
angegriffen. Falls Sie die Website in diesem Zeitraum besucht haben, lesen Sie bitte die wichtigen Informationen hier:
Zur Information
Pathopic
HiPaKu
ZyPaKu
Projektinfos
PathoPic - Projekt- und Copyright-Info
About
Pathopic
HiPaKu
ZyPaKu
PathoPic – image database
/
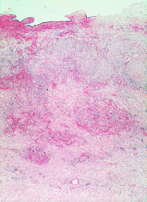
PathoPic ID 3416 - chronische fibroplastische Cholezystitis bei Cholezystolithiasis
de
Diagnose
chronische fibroplastische Cholezystitis bei Cholezystolithiasis
Diagnose Gruppe
Entzündung / Reparatur
Topographie
Gallenblase
Topographie Gruppe
Leber, Gallenwege, Pankreas
Beschreibung
Das Schleimhautrelief ist abgeflacht. Die Gallenblasenwand ist stark fibrosiert und hämorrhagisch.
Zusatzbefund
-
Klinik
Wiederholte rechtsseitige Oberbauchbeschwerden.
Bilder Typ
Histologie
Vergrösserung
25
Alter
65
Geschlecht
männlich
Datum
Ersteintrag: 17.12.2001
CPS
·
©
2025 Institut für Pathologie Basel
/
Dr. med. Katharina Glatz-Krieger
.
·
v2.2