Wichtiger Sicherheitshinweis: Pathorama wurde zwischen dem 26. und 27. Dezember 2025 angegriffen. Falls Sie die Website in diesem Zeitraum besucht haben, lesen Sie bitte die wichtigen Informationen hier:
Zur Information

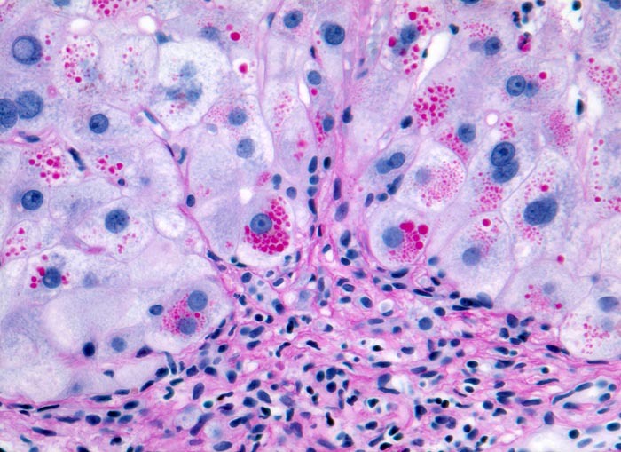
PathoPic – image database / PathoPic ID 3409 - alpha-1-Antitrypsinmangel

de
Diagnose
alpha-1-Antitrypsinmangel
Diagnose Gruppe
angeboren /genetisch/Missbildung
Topographie
Leber
Topographie Gruppe
Leber, Gallenwege, Pankreas
Beschreibung
Diastase-PAS positive Einschlüsse von alpha-1 Antitrypsin in periportalen Hepatozyten.
Zusatzbefund
-
Kommentar
Bei Patienten mit alpha-1 Antitrypsinmangel wird das alpha-1 Antitrypsin nicht ins Blut abgegeben, sondern in Hepatozyten gespeichert, wo es zu einer Entzündung und Fibrose der Leber führt. Alpha-1 Antitrypsin schützt die Lunge vor Abbau durch Proteasen. Deshalb entwickeln Patienten mit alpha-1 Antitrypsinmangel ein Lungenemphysem.
Bilder Typ
Histologie
Vergrösserung
320
Geschlecht
weiblich
Datum
Ersteintrag: 17.12.2001