Wichtiger Sicherheitshinweis: Pathorama wurde zwischen dem 26. und 27. Dezember 2025 angegriffen. Falls Sie die Website in diesem Zeitraum besucht haben, lesen Sie bitte die wichtigen Informationen hier:
Zur Information

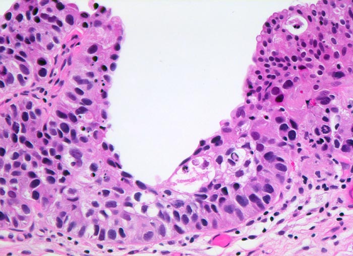
PathoPic – image database / PathoPic ID 3401 - Carcinoma in situ des Urothels

de
Diagnose
Carcinoma in situ des Urothels
Diagnose Gruppe
maligner Tumor
Topographie
Harnblase
Topographie Gruppe
Niere, Harnwege
Beschreibung
Ausgeprägte Zellkernpolymorphie und Hyperchromasie. Aufgehobene Polarität. Mitosen und Apoptosen. Beginnende Stromainvasion ohne erkennbare Basalmembran.
Bilder Typ
Histologie
Vergrösserung
320
Alter
64
Geschlecht
männlich
Datum
Ersteintrag: 17.12.2001