Wichtiger Sicherheitshinweis: Pathorama wurde zwischen dem 26. und 27. Dezember 2025 angegriffen. Falls Sie die Website in diesem Zeitraum besucht haben, lesen Sie bitte die wichtigen Informationen hier:
Zur Information

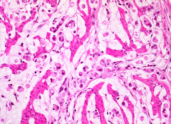
PathoPic – image database / PathoPic ID 3386 - Adenokarzinom des Magens mit Siegelringzellen

de
Diagnose
Adenokarzinom des Magens mit Siegelringzellen
Diagnose Gruppe
maligner Tumor
Topographie
Magen
Topographie Gruppe
Oesophagus, Magen
Beschreibung
Ein Grossteil des Tumorinfiltrats besteht aus einzeln liegenden Siegelringzellen mit intrazytoplasmatischen Schleimvakuolen. Zwischen den Tumorzellen liegen Reste der Magenwandmuskulatur.
Zusatzbefund
Diffuse Verdickung und Versteifung der Magenwand im Sinne einer Linitis plastica bei intakter Schleimhautoberfläche. Aufhebung des Faltenreliefs.
Klinik
Seit einigen Monaten klagte der Patient über unspezifische Oberbauchbeschwerden.
Bilder Typ
Histologie
Vergrösserung
200
Alter
46
Geschlecht
männlich
Datum
Ersteintrag: 17.12.2001
Update: 24.03.2008