Wichtiger Sicherheitshinweis:
Pathorama wurde zwischen dem
26. und 27. Dezember 2025
angegriffen. Falls Sie die Website in diesem Zeitraum besucht haben, lesen Sie bitte die wichtigen Informationen hier:
Zur Information
Pathopic
HiPaKu
ZyPaKu
Projektinfos
PathoPic - Projekt- und Copyright-Info
About
Pathopic
HiPaKu
ZyPaKu
PathoPic – image database
/
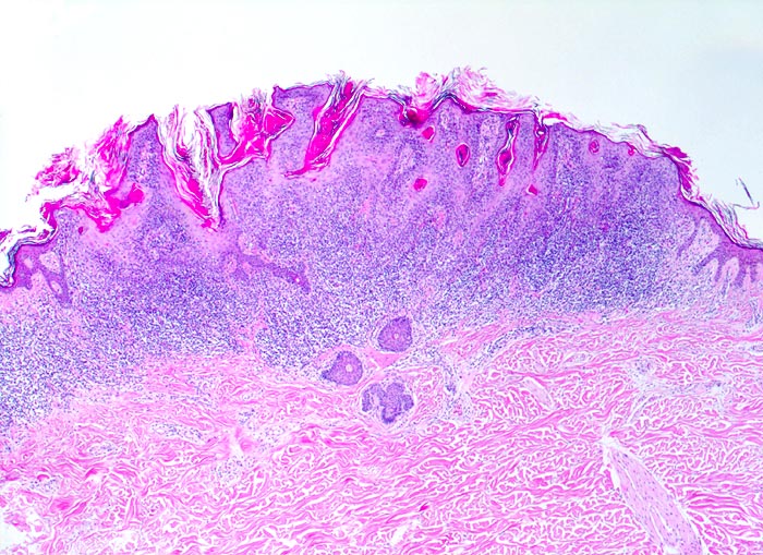
PathoPic ID 3353 - Irritierte seborrhoische Warze
de
Diagnose
Irritierte seborrhoische Warze
Diagnose Gruppe
benigner Tumor
Topographie
Haut, Rumpf
Topographie Gruppe
Haut
Beschreibung
Symmetrischer hyperkeratotischer Tumor mit akanthotischer Verbreiterung der Epidermis. Ausgeprägtes bandförmiges Entzündungsinfiltrat.
Klinik
Juckender Hauttumor am Rücken
Bilder Typ
Histologie
Vergrösserung
25
Alter
60
Geschlecht
unbekannt
Datum
Ersteintrag: 12.11.2001
CPS
·
©
2025 Institut für Pathologie Basel
/
Dr. med. Katharina Glatz-Krieger
.
·
v2.2