Wichtiger Sicherheitshinweis: Pathorama wurde zwischen dem 26. und 27. Dezember 2025 angegriffen. Falls Sie die Website in diesem Zeitraum besucht haben, lesen Sie bitte die wichtigen Informationen hier:
Zur Information

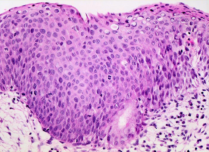
PathoPic – image database / PathoPic ID 3346 - mässige Dysplasie des Plattenepithels, parakeratotische Verhornung

de
Grad
Diagnose
mässige Dysplasie des Plattenepithels, parakeratotische Verhornung
Diagnose Gruppe
Präneoplasie/ Atypie/ Dignität?
Topographie
Portio
Topographie Gruppe
Genitalorgane, weiblich
Beschreibung
Metaplastisches Plattenepithel der Portio. Vergrösserte leicht hyperchromatische Kerne und Mitosen bis auf halbe Epithelhöhe. Weitgehend erhaltene Architektur. Entzündungsinfiltrat im Stroma.
Klinik
Pap IV, rezidivierend. Konisation
Bilder Typ
Histologie
Vergrösserung
200
Alter
26
Geschlecht
unbekannt
Datum
Ersteintrag: 12.11.2001
Update: 10.08.2010