Wichtiger Sicherheitshinweis: Pathorama wurde zwischen dem 26. und 27. Dezember 2025 angegriffen. Falls Sie die Website in diesem Zeitraum besucht haben, lesen Sie bitte die wichtigen Informationen hier:
Zur Information

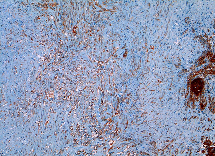
PathoPic – image database / PathoPic ID 3301 - sarkomatoides Plattenepithelkarzinom

de
Diagnose
sarkomatoides Plattenepithelkarzinom
Diagnose Gruppe
maligner Tumor
Topographie
Larynx
Topographie Gruppe
Kopf & Hals, Sinnesorgane
Beschreibung
Der Panzytokeratinmarker Lu-5 färbt sowohl die plattenepithelial differenzierten verhornenden Tumor-Zellstränge rechts im Bild als auch ein Teil der sarkomatoiden entdifferenzierten Tumorkomponente an.
Zusatzbefund
Tumor subglottisch rechts. Immunhistochemische Resultate: CK22, Lu-5, Vimentin positiv
Klinik
Status nach Larynxkarzinom vor 3 Jahren
Bilder Typ
Histologie
Immunhistochemie
Lu5 Panzytokeratin
Alter
69
Geschlecht
unbekannt
Datum
Ersteintrag: 12.11.2001
Update: 21.12.2007