Wichtiger Sicherheitshinweis: Pathorama wurde zwischen dem 26. und 27. Dezember 2025 angegriffen. Falls Sie die Website in diesem Zeitraum besucht haben, lesen Sie bitte die wichtigen Informationen hier:
Zur Information

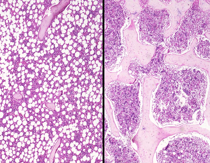
PathoPic – image database / PathoPic ID 3282 - Osteoporose (rechts im Bild Normalbefund)

de
Diagnose
Osteoporose (rechts im Bild Normalbefund)
Diagnose Gruppe
Hypoplasie/ Involution/ Atrophie
Topographie
Knochen, Wirbelsäule
Topographie Gruppe
Knochen, Knorpel, Gelenke
Beschreibung
Links im Bild die Osteoporose mit Rarefizierung und Atrophie der Spongiosabälkchen mit Störung der Mikroarchitektur des Knochens durch hochgradige Reduktion der intertrabekulären Vernetzung. Im Vergleich dazu auf dem rechten Bild ein normaler spongiöser Knochen.
Zusatzbefund
-
Klinik
72 jährige Patientin mit Rückenschmerzen und einer Schenkelhalsfraktur. Sie stirbt an einer Pneumonie.
Bilder Typ
Histologie
Vergrösserung
25
Alter
72
Geschlecht
unbekannt
Datum
Ersteintrag: 25.03.2002