Wichtiger Sicherheitshinweis: Pathorama wurde zwischen dem 26. und 27. Dezember 2025 angegriffen. Falls Sie die Website in diesem Zeitraum besucht haben, lesen Sie bitte die wichtigen Informationen hier:
Zur Information

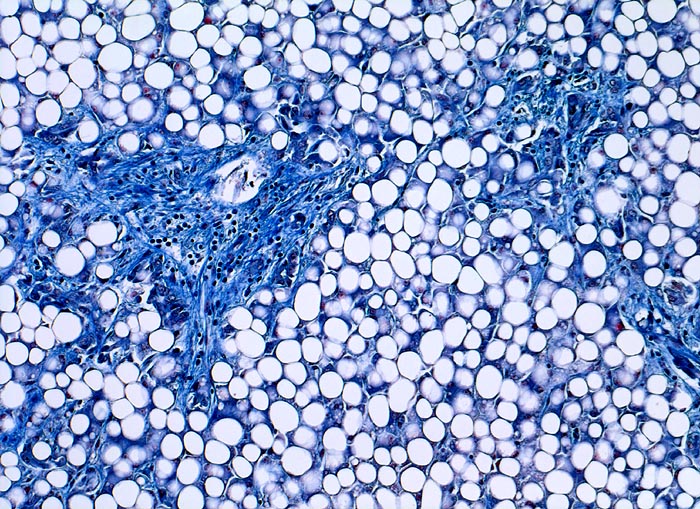
PathoPic – image database / PathoPic ID 3260 - grobtropfige Verfettung des Leberparenchyms

de
Diagnose
grobtropfige Verfettung des Leberparenchyms
Diagnose Gruppe
Therapiefolgen
Topographie
Leber
Topographie Gruppe
Leber, Gallenwege, Pankreas
Beschreibung
Zwei Portalfelder mit minimaler Fibrose und schütterem Entzündungsinfiltrat. Praktisch alle Hepatozyten enthalten eine solitäre grosse optisch leere Lipidvakuole.
Zusatzbefund
Leber vergrössert und von gelber Farbe.
Klinik
Bekannter Alkoholabusus.
Kommentar
Ein morphologisch identisches Bild kann beispielsweise auch bei Adipositas, Diabetes mellitus oder medikamentösem Leberschaden beobachtet werden.
Bilder Typ
Histologie
Vergrösserung
100
Alter
60
Geschlecht
unbekannt
Datum
Ersteintrag: 25.03.2002